
Hitachi HT7700 Transmission Electron Microscope
High contrast/high resolution digital transmission electron microscope (TEM)
About
The Hitachi HT7700 is a high contrast/high resolution digital transmission electron microscope (TEM). TEMs are able to image at a significantly higher resolution than a traditional light microscope.
This ability allows the user to examine very fine detail in their specimens (Ultrastructure). A user can clearly visualize characteristics of their specimens which are thousands of times smaller than the smallest resolvable object on a light microscope.
Transmission electron microscopy is an invaluable research tool for analysis in many scientific fields, both physical and biological. Our facility also offers sample preparation services.
Features and specifications
- Resolution: 0.2nm lattice
- Accelerating Voltage: 40-120kV, 100V increments
- Low magnification: 50x-1,000x
- Zoom: 200x-600,000x
- Image Rotation: +/-90 degrees in 15 degree steps
- High resolution CCD camera for crisp imagery
- Turbo-pump vacuum system for quick columns pump down
- Auto-brightness and auto-focus
- Low magnification/wide field of view
- High resolution/High Magnification to 600K
- Energy Dispersive Spectroscopy using the Bruker XFlash6T160 Detector
Image examples
Ultrathin section of mouse uterus tissue.
Image: Dr. Daniel MacPhee, WCVM.
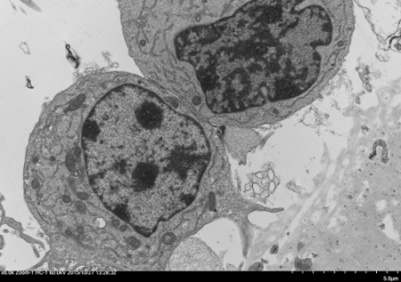
Granulosa cells (bovine)
Image: Dr. Muhammad Anzar, AAFC/WCVM.
Ultrathin section of the prostate glandular cells immunogold
labelled for secretory protein.
Image: Dr. Jaswant Singh, WCVM.
Nanoparticles.
Image: Mahesh Gangishetty, Dr. Rob Scott, Dr. Tim Kelly,
USask Dept. of Chemistry.